Mutation Underlying Acute Lymphoblastic Leukemia
The most common form of cancer in children is B-cell acute lymphoblastic leukemia. Research at St. Jude Children's Research Hospital opens up therapeutic avenues for this form of cancer by pinpointing a genomic pattern that promotes tumor formation.
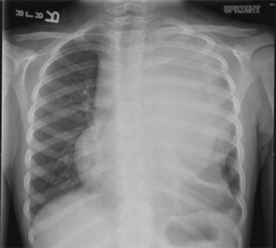
Chapter 11: Hematology and Oncology in Atlas of Pediatric Emergence Medicine, 3e, describes the physical symptoms of acute lymphoblastic leukemia. One such symptom is a mediastatal mass, as illustrated in Figure 40-1 (below).

Patients with specifically B-cell acute lymphoblastic leukemia, or B-ALL, commonly have a mutation that “fuses a segment of the IGH gene with part of the oncogene DUX4,” forming DUX4-IGH. When fused with IGH, DUX4 is expressed far more.
Researchers at St. Jude extensively sequenced that genomic region. Researchers expected DUX4-IGH to be dominantly expressed, but that was surprisingly not so. While an overabundance of DUX4 causes cell death, a lower amount can create an environment conducive to tumor growth. These findings encouraged the researchers to develop a mouse model of this form of leukemia, by regulating their DUX4 levels.
Chapter 445: Acute Lymphoblastic Leukemia in Rudolph's Pediatrics, 23e, describes other mutations that can be involved in acute lymphoblastic leukemia, including the fusion of ETV6-RUNX1, BCR-ABL1, and TCF3-PBX1. Aside from the origins and symptoms of acute lymphoblastic leukemia, this chapter provides an overview of treatment and the risks of treatment.

Figure 445-1 (above) marks an increase in the survival rate of patients with acute lymphoblastic leukemia. Progressive research, such as this study, contribute to this increase by seeking to refine treatment for B-ALL. According to Tanja Grueber, M.D., Ph.D., “The potential of DUX4 as a source of oncogenic stress may provide a unique angle for IGH-DUX4 treatment.”
Learn more by reading the newly-released study in Nature Communications.
Sources:
St. Jude Children's Research Hospital report: https://www.stjude.org/media-resources/news-releases/2019-medicine-science-news/goldilocks-principle-explains-origins-of-common-childrens-cancer.html
“Long-read sequencing unveils IGH-DUX4translocation into the silenced IGH allele in B-cell acute lymphoblastic leukemia” Study: https://www.nature.com/articles/s41467-019-10637-8
Chapter 11: Hematology and Oncology: Miller ST, Viswanathan K. HEMATOLOGY AND ONCOLOGY. In: Shah BR, Mahajan P, Amodio J, Lucchesi M. eds. Atlas of Pediatric Emergency Medicine, 3e New York, NY: McGraw-Hill; . http://accesspediatrics.mhmedical.com/content.aspx?bookid=2616§ionid=216056966. Accessed June 26, 2019.
Figure 40-1: Stone C, Humphries RL, Drigalla D, Stephan M. CURRENT Diagnosis & Treatment: Pediatric Emergency Medicine; 2014.
Chapter 445: Acute Lymphonoblastic Leukemia: Tasian, Sarah K., and Elizabeth A. Raetz.. "Acute Lymphoblastic Leukemia." Rudolph's Pediatrics, 23e Ed. Mark W. Kline. New York, NY: McGraw-Hill, http://accesspediatrics.mhmedical.com/content.aspx?bookid=2126§ionid=181402347.
Figure 445-1: Kline MW. Rudolph's Pediatrics, 23e; 2018.
Create a Free MyAccess Profile
AccessMedicine Network is the place to keep up on new releases for the Access products, get short form didactic content, read up on practice impacting highlights, and watch video featuring authors of your favorite books in medicine. Create a MyAccess profile and follow our contributors to stay informed via email updates.