Renal and Urologic Disorders Case

You are seeing a 13-year-old adolescent boy who was admitted to the local community hospital for chronic fatigue and significant iron deficiency anemia with hemoglobin of 5.8 g/dL.
Renal and Urologic Disorders Case
Like

Share this post

Choose a social network to share with, or copy the URL to share elsewhere

This is a representation of how your post may appear on social media. The actual post will vary between social networks

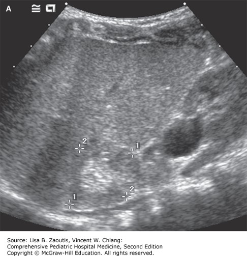
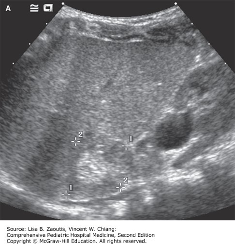
The history reveals that he has had no recent illnesses, fever, or travel history. He has decreased appetite and nausea without abdominal pain. He is fatigued after sleeping 10 hours at night, and has trouble staying awake at school. He wakes to void several times at night. He complains of generalized weakness, having withdrawn from his soccer team this past month. Growth parameters are significant for weight at the 10th percentile and height at the 50th percentile. Vital signs are temperature 36.7°C, heart rate 100 bpm, respirations 24 breaths per minute, and blood pressure 137/82 mm Hg. Upon admission, lab results are Na 135 mEq/L, K 5.2 mEq/L, Cl 101 mEq/L, CO2 16 mEq/L, glucose 102 mg/dL, albumin 3.2 g/dL, calcium 6.8 mg/dL, phosphate 8.2 mg/dL, BUN 85 mg/dL, and creatinine 5.2 mg/dL. Urinalysis is negative for blood, but positive for 1+ protein. You recognize that this patient has renal failure and consider the next steps in his treatment.

Which of the following should NOT be part of your management plans for him?

A. Renal ultrasound.

B. IV maintenance fluids D5 ½ NS.

C. IV calcium chloride to correct for hypocalcemia.

D. Low-phosphate and low-potassium diet.

E. Pediatric nephrology consult at a tertiary care hospital for transfer of care to determine modality of renal replacement therapy.


The correct answer is “C.” Hypocalcemia in the setting of end-stage renal disease (ESRD) is most commonly associated with hyperphosphatemia and vitamin D deficiency. Control of hyperphosphatemia will generally normalize hypocalcemia by use of phosphate binders, low-phosphate diet, renal replacement therapy (dialysis), or a combination of these. Unless there is symptomatic hypocalcemia, acute calcium repletion is not warranted. Renal ultrasound will be instrumental in diagnosing the etiology of his renal failure. In this setting with a well-grown adolescent, chronic kidney disease (CKD) with a history of polyuria and bland urine may be consistent with a diagnosis of juvenile nephronophthisis, with typical features of normal but diffusely echogenic kidneys. The choice of maintenance IV fluids without potassium is optimal given mild to moderate hyperkalemia, and he is not oliguric with signs of hypervolemia. Similarly, a low-phosphate diet and potassium dietary restrictions would be optimal until renal replacement therapy is provided. As the patient is clinically stable with signs of ESRD, consulting pediatric nephrology and transferring him to begin renal replacement therapy is appropriate.

Sources:

Question & Explanation: Peterson AR, Wood KE. Pediatrics Examination and Board Review. New York, NY: McGraw-Hill Education; 2017.

Photo: Zaoutis LB, Chiang VW. Comprehensive Pediatric Hospital Medicine, 2e; 2017

Create a Free MyAccess Profile

AccessMedicine Network is the place to keep up on new releases for the Access products, get short form didactic content, read up on practice impacting highlights, and watch video featuring authors of your favorite books in medicine. Create a MyAccess profile and follow our contributors to stay informed via email updates.