Neurologic Disorders Case
She is being bullied at school because of her weight and acne. Her medications include a combined oral contraceptive pill (OCP) and retinoic acid cream. Her mother thinks she is faking symptoms to stay home from school. Her vital signs and general, and neurologic exams are normal except for blurred optic disc margins.

What is the most likely diagnosis?
A. Tension headache due to social stressors.
B. Chronic migraine.
C. Idiopathic intracranial hypertension.
D. Acute hydrocephalus.
E. None of the above.
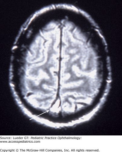
The correct answer is “C.” The early morning headache with nausea and papilledema on exam should clue you in to increased intracranial pressure as the underlying cause of the patient’s symptoms. Although option “D,” acute hydrocephalus, could also cause these symptoms, the patient would likely present in a more emergent manner with vomiting, altered level of consciousness, and possibly focal neurologic findings. Idiopathic intracranial hypertension (IIH), also known as pseudotumor cerebri syndrome, can be truly “idiopathic”; however, it is also associated with obesity, pregnancy, endocrinopathies, medications (tetracyclines, retinoic acid), vitamin A toxicity, and anemia. Although the neurologic exam in affected children should otherwise be normal, cranial nerve (CN) VI palsy is allowed as it is a “false localizing sign” of increased intracranial pressure.
Sources:
Question & Explanation: Peterson AR, Wood KE. Pediatrics Examination and Board Review. New York, NY: McGraw-Hill Education; 2017.
Create a Free MyAccess Profile
AccessMedicine Network is the place to keep up on new releases for the Access products, get short form didactic content, read up on practice impacting highlights, and watch video featuring authors of your favorite books in medicine. Create a MyAccess profile and follow our contributors to stay informed via email updates.