Week 39 Q&A
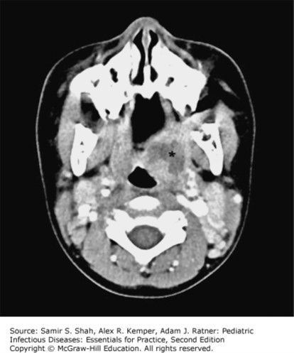
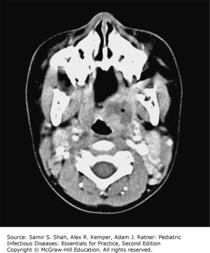
Her mother states that the patient has had 5 days of low-grade fevers, malaise, and a sore throat. This morning she appeared more ill, with temperature of 39.4°C (103°F), a severe sore throat, and neck pain, and she does not want to open her mouth. Physical exam is notable for unilateral left-sided tonsillar swelling, uvular deviation to the right, and trismus.

Based on this history and physical exam, the most likely diagnosis is:
A. Viral upper respiratory infection.
B. Sinusitis.
C. Peritonsillar abscess.
D. Strep throat.
E. Mononucleosis.
The correct answer is “C.” Classic physical exam findings for a peritonsillar abscess include severe sore throat, unilateral tonsillar swelling, trismus, and deviation of the uvula away from the affected side. Patients may also present with fever, drooling, odynophagia, and a muffled or “hot potato” voice. Hot potato voice is a buzz word for this infection. It is usually seen in older children and adolescents after an antecedent infection such as tonsillitis (option “E”), strep throat (option “D”) or a viral URI (option “A”). The physical exam is not consistent with sinusitis (option “B”).
Sources:
Question & Explanation: Peterson AR, Wood KE. Pediatrics Examination and Board Review. New York, NY: McGraw-Hill Education; 2017.
Photo: Shah SS, Kemper AR, Ratner AJ. Pediatric Infectious Diseases: Essentials for Practice, 2e; 2019.
Create a Free MyAccess Profile
AccessMedicine Network is the place to keep up on new releases for the Access products, get short form didactic content, read up on practice impacting highlights, and watch video featuring authors of your favorite books in medicine. Create a MyAccess profile and follow our contributors to stay informed via email updates.