Week 37 Q&A
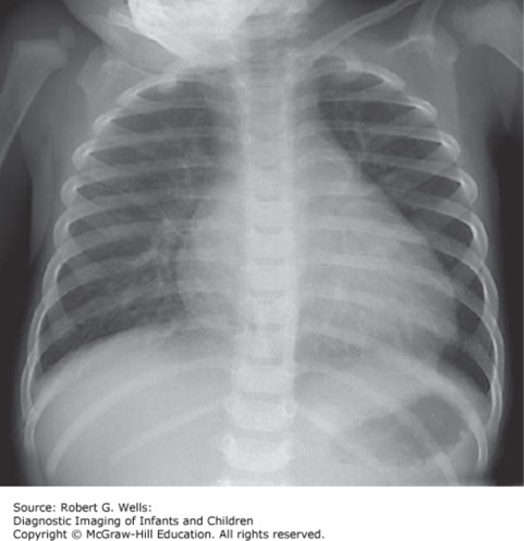
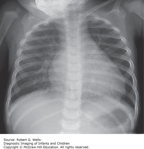
She has had a nonproductive cough for the last 2 weeks. She denies any rhinorrhea, sneezing, or recent sick contacts. She is afebrile. Her heart rate is 122 bpm, her respiratory rate is 38 breaths per minute. On exam, she has a grade III/VI holosystolic murmur. Her chest X-ray shows cardiomegaly with clear lung fields.

Which of the following is the most likely diagnosis?
A. Vascular ring.
B. Ventricular septal defect (VSD).
C. Dilated cardiomyopathy.
D. Pneumonia.
E. Foreign body aspiration.
The correct answer is “C.” Although tachycardia, tachypnea, a holosystolic murmur, and cardiomegaly can be consistent with a VSD, this presentation is unlikely to be seen in a 15-year-old. Primary cardiomyopathies are the most likely cause of heart failure in people with structurally normal hearts. Given that the patient is 15 years old, it is unlikely that she has unrecognized significant congenital heart disease, especially if she has been cared for in developed nations. Dilated cardiomyopathy is due to a genetic mutation in sarcomeric, cytoskeletal, or cell membrane proteins. This leads to systolic heart failure and dilation of the ventricles. The murmur heard on exam is due to mitral regurgitation that results from the ventricular dilation and poor function.
Sources:
Question & Explanation: Peterson AR, Wood KE. Pediatrics Examination and Board Review. New York, NY: McGraw-Hill Education; 2017.
Photo: Wells RG. Diagnostic Imaging of Infants and Children; 2015.
Create a Free MyAccess Profile
AccessMedicine Network is the place to keep up on new releases for the Access products, get short form didactic content, read up on practice impacting highlights, and watch video featuring authors of your favorite books in medicine. Create a MyAccess profile and follow our contributors to stay informed via email updates.