Week 32 Q&A
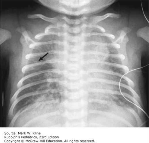
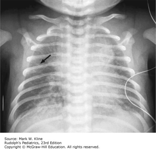
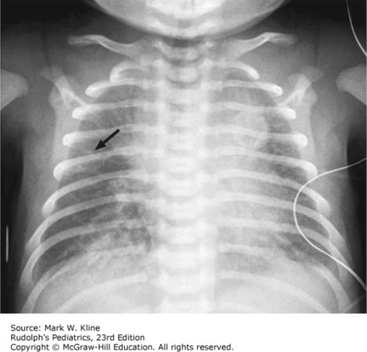
The infant girl is vigorous after delivery, with Apgar scores of 8 and 8. She is brought to her mother’s chest. Fifteen minutes later the NICU team is called because the infant is experiencing worsening respiratory distress with tachypnea, retractions, and mild grunting respirations. She is placed on nasal continuous positive airway pressure (CPAP) and admitted to the NICU. The infant shows clinical improvement on CPAP, requiring approximately 25% FiO2. Her chest radiograph shows 10-rib expansion with fluid in the fissure and no other focal infiltrates. You are asked to update her family.

You tell them:
A. This is most consistent with neonatal pneumonia and sepsis. You will start antibiotics immediately and she will recover in several days to a week.
B. This is most consistent with respiratory distress syndrome resulting from surfactant deficiency related to prematurity. She may need to be intubated for surfactant administration.
C. This is most consistent with transient tachypnea of the newborn and fluid retention exacerbated by the cesarean delivery without labor. She will improve in the next 24 hours.
D. This is most consistent with meconium aspiration. She will improve within days to weeks.
E. None of the above.
The correct answer is “C.” Transient tachypnea of the newborn is most common in late preterm and term infants who are delivered by cesarean section or precipitous delivery. Chest films demonstrate adequate lung expansion with retained fetal lung fluid. This condition generally improves quickly over hours and affected infants very rarely need intubation and mechanical ventilation.
Sources:
Question & Explanation: Peterson AR, Wood KE. Pediatrics Examination and Board Review. New York, NY: McGraw-Hill Education; 2017.
Create a Free MyAccess Profile
AccessMedicine Network is the place to keep up on new releases for the Access products, get short form didactic content, read up on practice impacting highlights, and watch video featuring authors of your favorite books in medicine. Create a MyAccess profile and follow our contributors to stay informed via email updates.