Dermatology Question of the Week: Deductive Dermpath
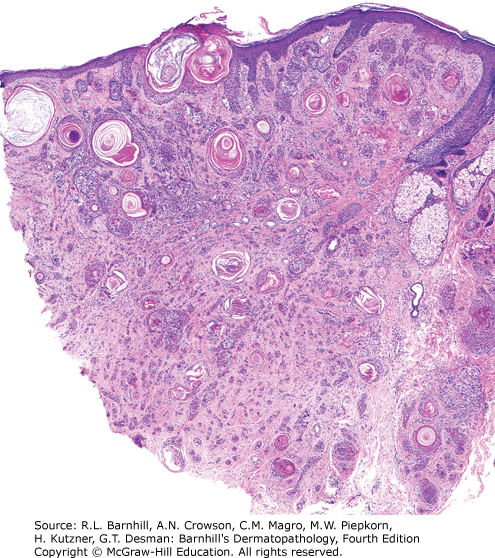
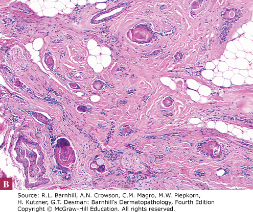
A 62-year-old woman presents with a slow-growing, firm, indurated plaque on her left cheek that has been present for several years. She reports no pain or bleeding but notes a gradual increase in size. A skin biopsy is performed, and the histopathologic findings are shown in the images below.


Which of the following best describes the key histologic features of this lesion?
A. Well-circumscribed nests of basaloid cells with peripheral palisading and mucinous stroma
B. Infiltrative cords and ductal structures within a desmoplastic stroma, extending deeply into the dermis and subcutaneous tissue
C. A diffuse proliferation of atypical pleomorphic spindle cells with numerous mitotic figures
D. Sheets of large, polygonal cells with prominent nucleoli, abundant eosinophilic cytoplasm, and intracellular bridges
E. Lobular proliferation of clear cells with glycogen-rich cytoplasm
Rationale:
This question evaluates the ability to identify the histopathologic features of microcystic adnexal carcinoma (MAC), a rare but locally aggressive cutaneous malignancy. MAC clinical presents as a slow-growing, firm, indurated plaque or nodule, most commonly on the face (especially the cheek and upper lip) and is frequently misdiagnosed both clinically and histologically due to its resemblance to benign adnexal tumors.
Correct answer: B. Infiltrative cords and ductal structures within a desmoplastic stroma, extending deeply into the dermis and subcutaneous tissue.
This is a classic description of MAC which is characterized by a deep infiltrative growth pattern with ductal differentiation, a sclerotic (desmoplastic) background, and frequently demonstrates perineural invasion, leading to aggressive local recurrence.
Incorrect answer choices:
A. Well-circumscribed nests of basaloid cells with peripheral palisading and mucinous stroma describes a basal cell carcinoma (BCC), which lacks the deeply infiltrative growth and ductal structures seen in MAC while MAC lacks palisading and mucinous stromal retraction.
C. A diffuse proliferation of atypical pleomorphic spindle cells with numerous mitotic figures describes atypical fibroxanthoma (AFX) or pleomorphic dermal sarcoma (PDS), which lacks ductal differentiation.
D. Sheets of large, polygonal cells with prominent nucleoli, abundant eosinophilic cytoplasm, and intracellular bridges describes squamous cell carcinoma (SCC), which does not form ductal structures.
E. Lobular proliferation of clear cells with glycogen-rich cytoplasm could describe clear cell hidradenoma or sebaceous carcinoma which would have a foamy cytoplasm.
Additional reading at Barnhill's Dermatopathology Chapter 29: Sweat Gland Tumors
Create a Free MyAccess Profile
AccessMedicine Network is the place to keep up on new releases for the Access products, get short form didactic content, read up on practice impacting highlights, and watch video featuring authors of your favorite books in medicine. Create a MyAccess profile and follow our contributors to stay informed via email updates.