Dermatology Question of the Week: Deductive Dermpath
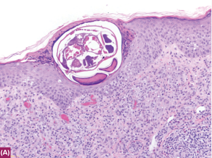
As a dermatopathologist, you receive the following pathology specimen with the pathology order stating "80 yo F pruritus, dermatitis vs bullous pemphigoid." The histology is shown below.

Which of the following is the correct diagnosis?
A. Atopic dermatitis
B. Incontinentia pigmenti
C. Scabies
D. Bullous pemphigoid
Rationale: There are many histologic diagnoses with prominent eosinophilic infiltrate. Frequently, clinical-pathological correlation is required to achieve the correct diagnosis. Bullous pemphigoid and scabies should be considered in all pruritic patients particularly those that are more at risk.
Correct answer: C. Scabies
The picture above shows a mite burrowed in the skin as well as an inflammatory response containing numerous lymphocytes and eosinophils.
Incorrect answers:
A. Atopic dermatitis can present differently depending on the stage (acute, subacute, chronic) and is typically characterized by spongiosis and superficial perivascular lymphocytic inflammation as seen below.

B. Incontinentia pigmenti is an X-linked dominant disorder associated with a mutation in the IKBDG gene that results in skin, CNS, teeth, and ocular manifestations. In the vesicular stage, lesions present with eosinophils, spongiosis, and apoptotic keratinocytes. This condition typically presents from birth with lesions in a Blaschkoid distribution.

D. Bullous pemphigoid characteristically presents with subepidermal blisters and eosinophils. However, urticarial stage bullous pemphigoid can present with perivascular and interstitial lymphocytic infiltrates with numerous eosinophils. Antibody testing and immunofluorescence testing can be helpful in difficult bullous pemphigoid cases.

Additional reading at Barnhill's Dermatopathology Chapter 2: Spongiotic Dermatitis and Barnhill's Dermatopathology Chapter 8: Subepidermal Blistering Diseases
Create a Free MyAccess Profile
AccessMedicine Network is the place to keep up on new releases for the Access products, get short form didactic content, read up on practice impacting highlights, and watch video featuring authors of your favorite books in medicine. Create a MyAccess profile and follow our contributors to stay informed via email updates.