Dermatology Question of the Week: Deductive Dermpath
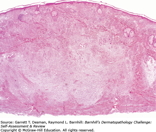
A 65-year-old woman presents with a firm, subcutaneous nodule on her left shoulder. Histologic examination reveals the photograph below.

Immunohistochemistry is positive for CD34 and negative for S-100, desmin, and smooth muscle actin (SMA). Which of the following is the most likely diagnosis?
A. Dermatofibrosarcoma protuberans (DFSP)
B. Leiomyosarcoma
C. Desmoplastic melanoma
D. Neurofibroma
Rationale: Dermal tumors can sometimes be difficult to determine based on H&E alone, staining patterns can be quite helpful to differentiate.
Correct answer: A. Dermatofibrosarcoma protuberans
DFSP is a spindle cell neoplasm known for its characteristic storiform pattern and CD34 positivity. It typically presents as a firm nodule in the dermis or subcutis and frequently involves the subcutaneous adipose tissue. CD34 positivity is a key feature, and the lack of S-100, desmin, and SMA staining helps rule out other diagnoses like desmoplastic melanoma, leiomyosarcoma, and neurofibroma.
Incorrect answers:
B. Leiomyosarcoma, a malignant smooth muscle tumor, would typically be positive for smooth muscle markers like desmin and SMA. The absence of these markers, along with the CD34 positivity, makes leiomyosarcoma an unlikely diagnosis.

C. Desmoplastic melanoma often presents with spindle cells and can exhibit a storiform pattern. However, it typically shows S-100 positivity, which is absent in this case. CD34 is not typically positive in desmoplastic melanoma, further ruling out this diagnosis.

D. Neurofibromas can have spindle cells but usually do not show a storiform pattern, and they are often S-100 positive. CD34 positivity is not characteristic of neurofibromas, which also helps differentiate this from DFSP.

Additional reading at Barnhill's Dermatopathology Chapter 30: Fibrous and Fibrohistiocytic Tumors
Create a Free MyAccess Profile
AccessMedicine Network is the place to keep up on new releases for the Access products, get short form didactic content, read up on practice impacting highlights, and watch video featuring authors of your favorite books in medicine. Create a MyAccess profile and follow our contributors to stay informed via email updates.