Dermatology Question of the Week: Deductive Dermpath

This week's question will focus on dermatopathology.
Dermatology Question of the Week: Deductive Dermpath
Like

Share this post

Choose a social network to share with, or copy the URL to share elsewhere

This is a representation of how your post may appear on social media. The actual post will vary between social networks

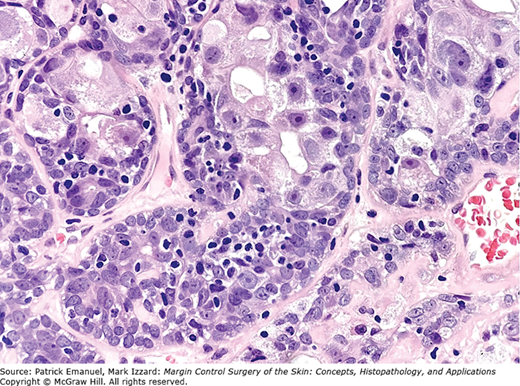
A 68-year-old man presents with a slow-growing violaceous nodule on the scalp. The lesion is asymptomatic and has been present for several months. Excisional biopsy reveals a well-circumscribed dermal and subcutaneous neoplasm composed of lobules of basaloid cells with peripheral palisading and central areas of necrosis. Mitotic figures are frequent. The tumor is surrounded by a thick eosinophilic basement membrane–like material. On immunohistochemistry, the tumor is positive for EMA and cytokeratins, but negative for Ber-EP4. A representative image is shown below.

Which of the following is the most likely diagnosis?

A. Basal cell carcinoma

B. Trichoepithelioma

C. Merkel cell carcinoma

D. Adnexal carcinoma (specifically: eccrine porocarcinoma)

E. Spiradenocarcinoma

 

Rationale: 

This question tests the recognition of malignant transformation of an adnexal tumor, and the ability to distinguish it from common mimickers like basal cell carcinoma (BCC) or Merkel cell carcinoma (MCC).

 

Correct answer: E. Spiradenocarcinoma

Spiradenocarcinoma is the malignant counterpart of spiradenoma and is composed of basaloid lobules with nuclear atypia, increased mitotic activity, and areas of necrosis. It retains features of benign spiradenoma, such as dual-cell population and eosinophilic basement membrane–like material and often shows abrupt transition from benign to malignant areas. Tumors are EMA-positive, CK-positive, and Ber-EP4–negative, helping to distinguish from BCC. 

 

Incorrect answers:

A. Basal cell carcinoma can have palisading and basaloid cells, but usually lacks eosinophilic basement membrane material and shows Ber-EP4 positivity. They are typically not EMA positive.

A micrograph of Basal cell carcinoma with eccrine differentiation depicts clusters of very dense concentration of small cells in connection to the epidermis A micrograph of basal cell carcinoma with eccrine differentiation shows a close up view of lobules of approximately similar sized basal cells containing sudoriferous material.

B. Trichoepithelioma is a benign follicular tumor with basaloid cells, but shows horn cysts and papillary mesenchymal bodies, and lacks significant mitotic activity or necrosis.

A micrograph shows large, dark purple basaloid cell clusters in the dermis in a reticular pattern. The dense collagen fibers around the clusters contain numerous tiny, dark blue inflammatory cells.

C. Merkel cell carcinoma is a neuroendocrine tumor which shows small blue cell morphology, high mitotic rate, and is positive for CK20 in a dot-like pattern and neuroendocrine markers (e.g., chromogranin, synaptophysin). It is not typically associated with basement membrane–like material.

A micrograph shows a triangular area of pink, necrotic debris surrounded by large, oval, purple cells with white vacuoles and tiny nucleoli. There are dark blue, circular cells with borders of the pink, necrotic debris.

D. Eccrine porocarcinoma may show ductal differentiation and clear cytoplasm, but lacks the thick eosinophilic basement membrane–like material seen in spiradenocarcinoma. It often shows infiltrative growth with prominent ductal structures.

A micrograph shows strands of elongated purple cells clumped together in various shapes. The surrounding spacer has numerous tiny purple cells and faded pink streaks against a light background

 

Additional reading at Fitpatrick's Dermatology Chapter 109: Appendage Tumors of the Skin

Create a Free MyAccess Profile

AccessMedicine Network is the place to keep up on new releases for the Access products, get short form didactic content, read up on practice impacting highlights, and watch video featuring authors of your favorite books in medicine. Create a MyAccess profile and follow our contributors to stay informed via email updates.