Dermatology Question of the Week: Deductive Dermpath

This week's question will focus on dermatopathology.
Dermatology Question of the Week: Deductive Dermpath
Like

Share this post

Choose a social network to share with, or copy the URL to share elsewhere

This is a representation of how your post may appear on social media. The actual post will vary between social networks

Question:

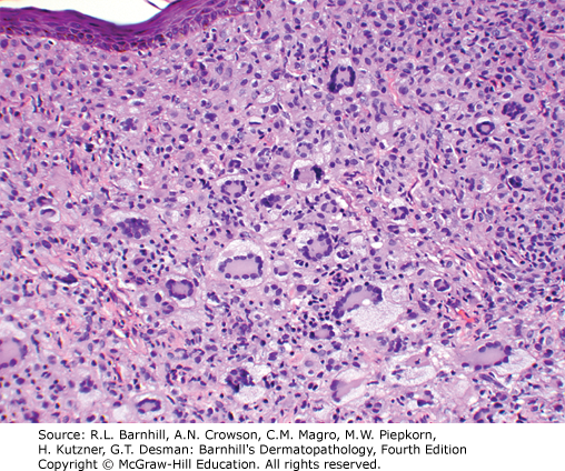
An 8-year-old patient presents with multiple lesions with the histopathology shown below.

Which of the following would be appropriate screening?

Answer choices:

A. SPEP/Serum immunofixation

B. Hgb A1c

C. Lipid panel 

D. Rheumatoid factor

E. Ophthalmologic exam

Rationale: The findings above are consistent with a xanthogranuloma. Mature xanthogranulomas are characterized by dense sheets of histiocytes with Touton giant cells and wreath giant cells. 

Correct answer: E Ophthalmologic exam

Patients with multiple cutaneous (juvenile) xanthogranulomas are at increased risk of ocular involvement and these patients should be screened by an ophthalmologist, particularly anyone reporting any ocular symptoms. 

Incorrect answers:

A. SPEP/serum immunofixation. Necrobiotic xanthogranulomas are comprised of a granulomatous nodule with X-shaped zones of necrosis, Touton giant cells may be seen as well. These typically have deeper involvement including the dermis and subcutis; cholesterol clefts can be seen. Necrobiotic xanthogranulomas can be associated with underlying paraproteinemia. 

A micrograph of necrobiotic xanthogranuloma shows large pale areas of necrotized collagen and fibrinoid material surrounded by palisaded granulomatous infiltration extending in the entire dermis.
A close view of necrobiosis in necrobiotic xanthogranuloma in a micrograph shows white cholesterol clefts surrounded by mononucleated foamy macrophages. These are represented by round, randomly located white areas throughout the image.A micrograph of necrobiotic xanthogranuloma shows large pale areas of necrotized collagen and fibrinoid material surrounded by palisaded granulomatous infiltration extending in the entire dermis.
A close view of necrobiosis in necrobiotic xanthogranuloma in a micrograph shows white cholesterol clefts surrounded by mononucleated foamy macrophages. These are represented by round, randomly located white areas throughout the image.

B. Hgb A1c. Necrobiosis lipoidica can be associated with underlying diabetes. This typically presents as layers of granulomatous inflammation alternating with layers of degenerated collagen. This is not similar to the presentation above.

A micrograph with necrobiosis lipoidica shows palisaded granulomatous infiltrate and degenerated collagen from the upper reticular dermis to the subcutaneous fat lying parallel to the epidermal surface and an accompanying superficial and deep perivascular inflammatory cells infiltration.
A micrograph of the close view of the inflammatory infiltrates in the necrobiosis lipoidica shows perivascular plasma cells and a few lymphocytes, represented by dark, tightly clustered cells in two thirds of the image. The right portion of the image shows less dense cell clusters.

C. Lipid panel. Eruptive xanthomas can be seen with high levels of triglycerides. On histology, they appear as foam cells with lots of extracellular lipid as the rapid process overwhelms the capacity of histiocytes; frequently accompanied by a collection of neutrophils as seen below. 

A micrograph of eruptive xanthoma shows a circular cluster of mononucleated foamy cells with abundant cytoplasm and a few neutrophils surrounded by collagen bundles.

D. Rheumatoid factor. Rheumatoid nodules typically present as a large palisaded granuloma which surrounds pink fibrin. This is not seen in the photograph above.

A micrograph of skin with a rheumatoid nodule shows deep stained palisaded granulomatous infiltration encircling degenerated collagen and fibrinoid material in the dermis.

Additional reading at Barnhill's Dermatopathology Chapter 6: Nodular and Diffuse Cutaneous Infiltrates

References:

So N, Liu R, Hogeling M. Juvenile xanthogranulomas: Examining single, multiple, and extracutaneous presentations. Pediatr Dermatol. 2020 Jul;37(4):637-644. doi: 10.1111/pde.14174. Epub 2020 May 28. PMID: 32468628.

Create a Free MyAccess Profile

AccessMedicine Network is the place to keep up on new releases for the Access products, get short form didactic content, read up on practice impacting highlights, and watch video featuring authors of your favorite books in medicine. Create a MyAccess profile and follow our contributors to stay informed via email updates.