Dermatology Question of the Week: Deductive Dermpath
A 60-year-old female patient presents with a pruritic rash on her arm. A biopsy of a lesion shows the following histologic findings.


Which of the following diagnoses is most consistent with the histopathology shown above?
A. Pyogenic granuloma
B. Pyoderma gangrenosum
C. Discoid lupus erythematosus
D. Wells syndrome
E. Granuloma annulare
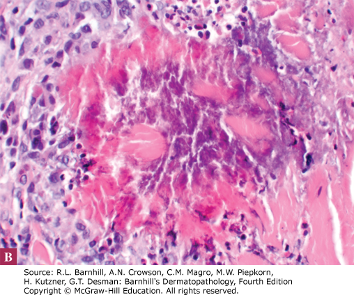
Rationale: Recognizing the type of infiltrate in dermatopathology slides can help categorize rashes and narrow the differential diagnoses. All the answer choices have very different patterns (vascular growth in pyogenic granuloma) and different types of inflammatory infiltrate (neutrophilic, eosinophilic, granulomatous, or lymphocytic). Identifying eosinophils and flame figures in the photographs above is critical to the identification of the correct diagnosis.
Correct answer: D. Wells syndrome
The photographs above demonstrate perivascular mixed infiltrate with multiple flame figures. Flame figures represent degranulated eosinophils. Wells syndrome presents clinically as erythematous papules and plaques that can appear similar to cellulitis and are typically pruritic. Flame figures are not pathognomonic for Wells syndrome and can be seen in other eosinophilic processes such as arthropod reaction, allergic contact dermatitis, and bullous pemphigoid. Patients diagnosed with Wells syndrome should be evaluated for underlying malignancy, medication reaction, or parasitic infections.
Incorrect answers:
A. Pyogenic granuloma shows lobules of capillaries in the dermis as shown below.
B. Pyoderma gangrenosum is typically characterized by a neutrophilic infiltrate near the ulcer edge as noted below.

C. Lupus erythematosus can have different histologic findings depending on the type of cutaneous lupus and stage of development. Discoid lupus shows follicular plugging, dense lymphocytic infiltrate, and vacuolar interface changes as noted below.

E. Granuloma annulare can show collections of either palisaded or interstitial histiocytes.

Additional reading at Chapter 6: Nodular and Diffuse Cutaneous Infiltrates

Create a Free MyAccess Profile
AccessMedicine Network is the place to keep up on new releases for the Access products, get short form didactic content, read up on practice impacting highlights, and watch video featuring authors of your favorite books in medicine. Create a MyAccess profile and follow our contributors to stay informed via email updates.