Dermatology Question of the Week: Deductive Dermpath
Which of the following diagnoses is most consistent with the biopsy findings below?

A. Rosacea
B. Bacterial folliculitis
C. Fungal folliculitis
D. Eosinophilic folliculitis
Rationale: In certain situations, histopathologic evaluation can help differentiate among the types of folliculitis. This information can guide our understanding of the causative organism and aid with treatment selection.
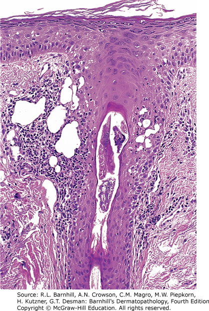
Correct answer: A. Rosacea
Pictured above within the hair follicle is a Demodex mite. Demodex's involvement in acne rosacea is controversial but many believe an overgrowth of Demodex and the subsequent inflammatory reaction to the mite can contribute to the pustular eruption. Resolution of facial rash with medications such as ivermectin or permethrin is further evidence of their involvement in certain types of rosacea. Histologically, follicular spongiosis and adjacent lymphohistiocytic infiltrate are suggestive of an inflammatory response to the Demodex mite. Another example of a Demodex mite within the hair follicle is shown below.

Incorrect answers:
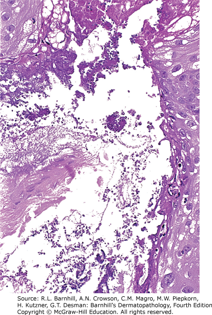
B. Bacterial folliculitis typically shows a dense perifollicular neutrophilic infiltrate and gram-positive organisms both of which can be seen in the image below.

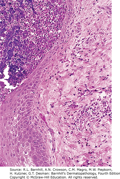
C. Fungal folliculitis is typically caused by Malassezia spp and can show budding yeasts within the hair follicle as seen below.

D. Eosinophilic folliculitis typically presents as mixed inflammatory infiltrates with numerous eosinophils both intra- and peri-follicularly. Eosinophilic folliculitis has been associated with HIV, a child/neonatal form, and in Japanese men.

Additional reading at Barnhill's Dermatopathology Chapter 10: Disorders of Cutaneous Appendages.
Create a Free MyAccess Profile
AccessMedicine Network is the place to keep up on new releases for the Access products, get short form didactic content, read up on practice impacting highlights, and watch video featuring authors of your favorite books in medicine. Create a MyAccess profile and follow our contributors to stay informed via email updates.