Developmental Abnormalities of the Lungs and Diaphragm Diagnosis
What's your diagnosis?
Like
Be the first to like this

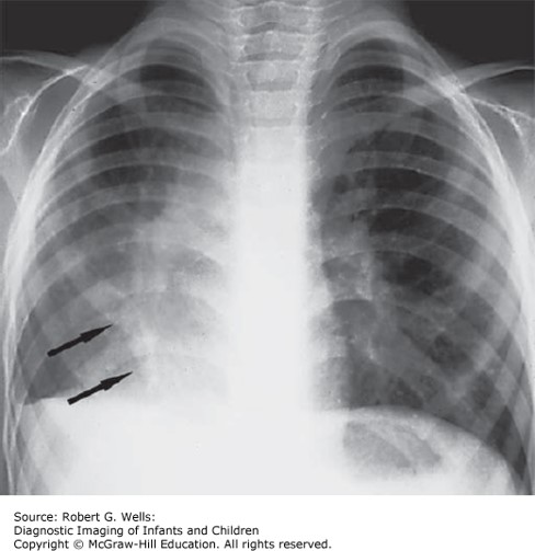
Hypogenetic lung syndrome. The right lung is small and there is rightward mediastinal shift. The pulmonary vessels in the right lung are small and there is secondary enlargement of vessels in the left lung. There is a curved vascular structure (arrows) at the right lung base, representing an anomalous pulmonary vein; this is the scimitar sign.
Source: Wells RG. Diagnostic Imaging of Infants and Children; 2015.
Create a Free MyAccess Profile
AccessMedicine Network is the place to keep up on new releases for the Access products, get short form didactic content, read up on practice impacting highlights, and watch video featuring authors of your favorite books in medicine. Create a MyAccess profile and follow our contributors to stay informed via email updates.