Developmental Diseases of the Nervous System Diagnosis
What's your diagnosis?
Like
Be the first to like this

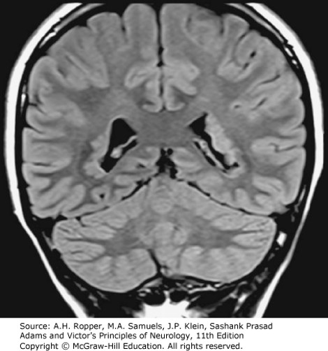
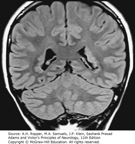
Focal cortical dysplasia. A T2-FLAIR MRI in the coronal plane in a patient with seizures. Deep in the white matter, adjacent to the lateral ventricles, are multifocal heterotopic aggregates of gray matter, more apparent in the left hemisphere.
Source: Ropper AH, Samuels MA, Klein JP, Prasad S. Adams and Victor's Principles of Neurology, 11e; 2019.
Create a Free MyAccess Profile
AccessMedicine Network is the place to keep up on new releases for the Access products, get short form didactic content, read up on practice impacting highlights, and watch video featuring authors of your favorite books in medicine. Create a MyAccess profile and follow our contributors to stay informed via email updates.
Excellent network to upgrade the knowledge in medicine and allied branches
Excellent online network to upgrade medical skills