Pneumatocele in Staphylococcus Pneumonia on Chest X-Ray

Pneumatocele in Staphylococcus Pneumonia on Chest X-Ray
Like

Share this post

Choose a social network to share with, or copy the URL to share elsewhere

This is a representation of how your post may appear on social media. The actual post will vary between social networks

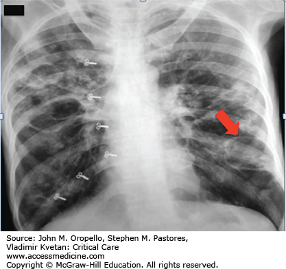
Pneumatocele in Staphylococcus pneumonia.


Read More About Pneumatoceles and Pneumonia in Context:

Critical Care: Chapter 11. Imaging of the Critically Ill Patient: Radiology

Read More About Pneumatoceles and Pneumonia:

Harrison’s Principles of Internal Medicine, 20e: Chapter 215. Pneumocystis Infections

Current Medical Diagnosis and Treatment 2020: Chapter 9-11. Pneumonia

The Color Atlas and Synopsis of Family Medicine, 3e: Chapter 55. Pneumonia

Create a Free MyAccess Profile

AccessMedicine Network is the place to keep up on new releases for the Access products, get short form didactic content, read up on practice impacting highlights, and watch video featuring authors of your favorite books in medicine. Create a MyAccess profile and follow our contributors to stay informed via email updates.