AccessMedicine's Image of the Week: Rectal Mucosal Biopsy Specimen: Shigellosis

From: Currennt Diagnosis & Treatment: Gastroenterology, Hepatology, & Endoscopy, 3e
AccessMedicine's Image of the Week: Rectal Mucosal Biopsy Specimen: Shigellosis
Like

Share this post

Choose a social network to share with, or copy the URL to share elsewhere

This is a representation of how your post may appear on social media. The actual post will vary between social networks

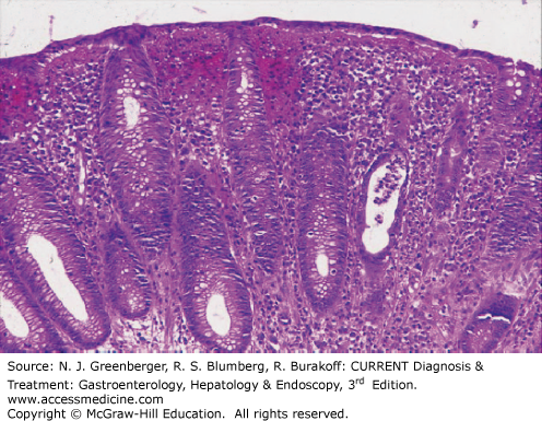
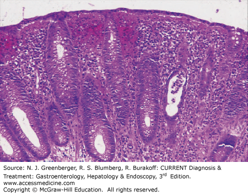
Rectal mucosal biopsy specimen from a patient with dysentery caused by shigellosis. There is considerable mucosal inflammation caused by infiltration with polymorphonuclear leukocytes and mononuclear cells, as well as substantial damage to surface epithelial cells. However, mucosal architecture is generally preserved with straight, closely adjacent crypts. A crypt microabscess is seen on the right.


image


Read more HERE!


Create a Free MyAccess Profile

AccessMedicine Network is the place to keep up on new releases for the Access products, get short form didactic content, read up on practice impacting highlights, and watch video featuring authors of your favorite books in medicine. Create a MyAccess profile and follow our contributors to stay informed via email updates.