Like
Be the first to like this

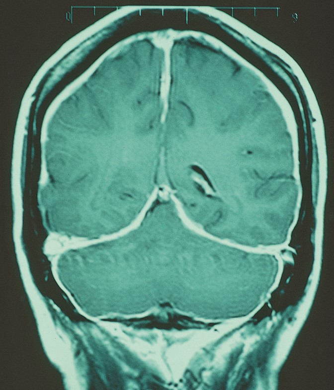
Dural enhancement from intracranial hypotension. A patient with a spontaneous cerebrospinal fluid leak presented with headache when sitting up or standing, relieved by lying down. Diffuse meningeal enhancement is seen in this magnetic resonance imaging scan of the brain (T1 sequence with contrast).
Source: Martin TJ, Corbett JJ. Practical Neuroophthalmology; 2013.
Create a Free MyAccess Profile
AccessMedicine Network is the place to keep up on new releases for the Access products, get short form didactic content, read up on practice impacting highlights, and watch video featuring authors of your favorite books in medicine. Create a MyAccess profile and follow our contributors to stay informed via email updates.