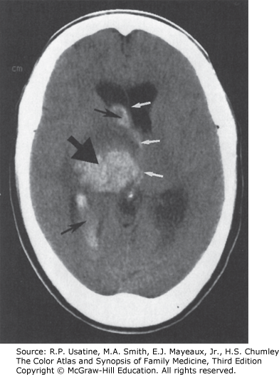
Hemorrhagic stroke. CT image demonstrates bleeding in the right basal ganglia (large black arrow) and into the ventricles (small black arrows). Blood appears white on the CT scan. The white arrows illustrate midline shift. (Reproduced with permission from Chen MYM, Pope TL, Ott DJ. Basic Radiology. New York, NY: McGraw-Hill Education; 2004.)

Read More about Hemorrhagic Stroke in Context:
The Color Atlas and Synopsis of Family Medicine, 3e: Chapter 241. Cerebral Vascular Accident
Read More about Hemorrhagic Stroke:
Tintinalli’s Emergency Medicine: A Comprehensive Study Guide, 8e: Chapter 167. Stroke Syndromes
Adam’s and Victor’s Principles of Neurology, 11e: Chapter 33. Stroke and Cerebrovascular Diseases
Clinical Neurology, 10e: Chapter 13. Stroke
Create a Free MyAccess Profile
AccessMedicine Network is the place to keep up on new releases for the Access products, get short form didactic content, read up on practice impacting highlights, and watch video featuring authors of your favorite books in medicine. Create a MyAccess profile and follow our contributors to stay informed via email updates.