Like
Be the first to like this

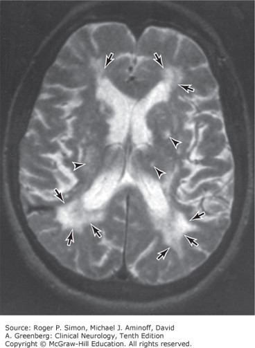
Cerebrovascular disease. Vascular disease is generally considered the second most common cause of dementia, after Alzheimer disease, and many patients have features of both diseases. This image shows a T2-weighted MRI in vascular dementia, showing foci of abnormal high signal intensity adjacent to the lateral ventricles (arrows) and within the basal ganglia (arrowheads).
Source: Simon RP, Aminoff MJ, Greenberg DA. Clinical Neurology, 10e; 2017.
Create a Free MyAccess Profile
AccessMedicine Network is the place to keep up on new releases for the Access products, get short form didactic content, read up on practice impacting highlights, and watch video featuring authors of your favorite books in medicine. Create a MyAccess profile and follow our contributors to stay informed via email updates.