Ingested Foreign Bodies Are On The Rise - Study Shows
According to the American Academy of Pediatrics, the rates of children age 5 and under swallowing foreign objects has risen significantly. The AAP and the May 2019 edition of Pediatrics recently highlighted the study "Foreign Body Ingestions of Young Children Treated in U.S. Emergency Departments: 1995-2015," which concluded that there is a 4.4% annual increase in the rate of foreign body ingestions by children.
The most common objects swallowed by children are coins, toys, jewelry, and batteries.
According to Chapter 12: Foreign Bodies in Strange and Schafermeyer's Pediatric Emergency Medicine, 5e, esophageal foreign bodies can be detected be various abrupt syndromes including choking, gagging, drooling, vomiting, odynophagia, dysphagia, and chest pain.
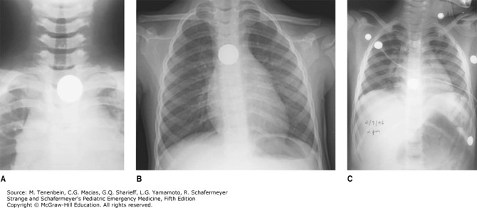
Figure 12-2 of the Foreign Bodies chapter highlights the three most common sites for esophageal foreign body: A. thoracic inlet (60%–70%); B. mid-esophagus (10%–20%); C. lower esophageal sphincter (20%).

Luckily, most foreign bodies are able to pass through a child's digestive system on their own. According to Chapter 21: Gastrointestinal Tract in Current Diagnosis & Treatment: Pediatrics, 24e, esophageal foreign bodies should be removed within 24 hours of ingestion and 80-90% of foreign bodies pass spontaneously while only 10%-20% require endoscopic or surgical management.
Figure 21-3 of the Gastrointestinal Tract chapter shows a coin lodged in the esophageal lumen.

Sources:
American Academy of Pediatrics website: https://www.aap.org/en-us/about-the-aap/aap-press-room/Pages/Rates-of-Children-Age-5-and-Under-Swallowing-Foreign-Objects-Has-Risen-Significantly.aspx.
"Foreign Body Ingestions of Young Children Treated in U.S. Emergency Departments: 1995-2015" Study: https://doi.org/10.1542/peds.2018-1988.
Figure 21-3: Hay, Jr. WW, Levin MJ, Deterding RR, Abzug MJ. Current Diagnosis & Treatment: Pediatrics, 24e; 2018.
Create a Free MyAccess Profile
AccessMedicine Network is the place to keep up on new releases for the Access products, get short form didactic content, read up on practice impacting highlights, and watch video featuring authors of your favorite books in medicine. Create a MyAccess profile and follow our contributors to stay informed via email updates.