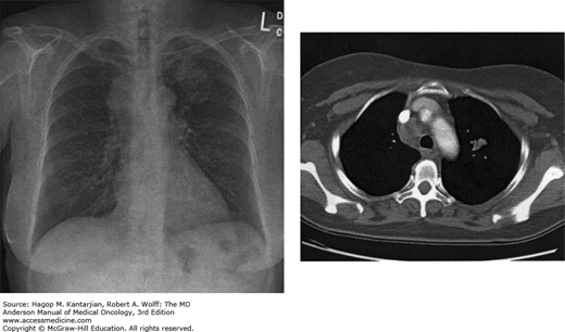
Stage IIIB non–small cell lung cancer (NSCLC). This patient presented with chest pain, and the chest x-ray (left) showed an approximately 4.0- by 3.0-cm mass in the left upper lobe and an additional mass in the right mediastinum. Initial computed tomography (CT) revealed a 4.5-cm mass in the left upper lobe and a 5-cm mass in the paratracheal region. Biopsy confirmed NSCLC. Staging evaluation showed no distant metastatic disease (T2N3M0). The patient was treated with concurrent chemotherapy and radiotherapy. The posttreatment CT (right) showed significant therapeutic response.

Read More about Non-Small Cell Lung Cancer in Context:
The MD Anderson Manual of Medical Oncology, 3e: Chapter 18. Non-Small Cell Lung Cancer
Read More about Non-Small Cell Lung Cancer:
Fishman's Pulmonary Diseases and Disorders, 5e: Chapter 113: Treatment of Non–Small-Cell Lung Cancer: Surgery
Harrison’s Principles of Internal Medicine, 20e: Chapter 74. Neoplasms of the Lung
Create a Free MyAccess Profile
AccessMedicine Network is the place to keep up on new releases for the Access products, get short form didactic content, read up on practice impacting highlights, and watch video featuring authors of your favorite books in medicine. Create a MyAccess profile and follow our contributors to stay informed via email updates.