Like
Be the first to like this

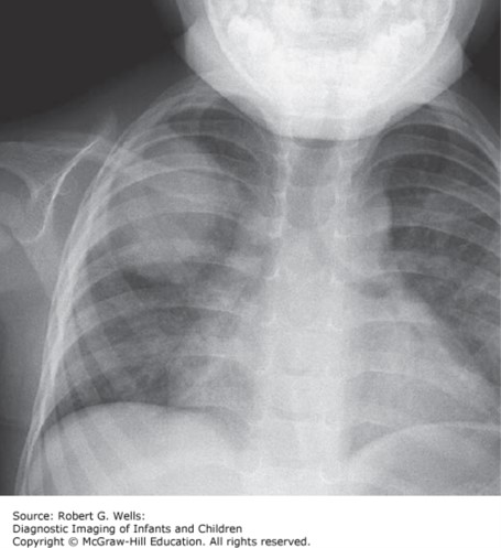
Round pneumonia. There is a round focus of dense consolidation in the right upper lobe of this febrile 14-month-old infant with pneumococcal pneumonia.
Source: Wells RG. Diagnostic Imaging of Infants and Children; 2015.
Create a Free MyAccess Profile
AccessMedicine Network is the place to keep up on new releases for the Access products, get short form didactic content, read up on practice impacting highlights, and watch video featuring authors of your favorite books in medicine. Create a MyAccess profile and follow our contributors to stay informed via email updates.