Brain Imaging of Demyelination in Multiple Sclerosis

Brain Imaging of Demyelination in Multiple Sclerosis
Like

Share this post

Choose a social network to share with, or copy the URL to share elsewhere

This is a representation of how your post may appear on social media. The actual post will vary between social networks

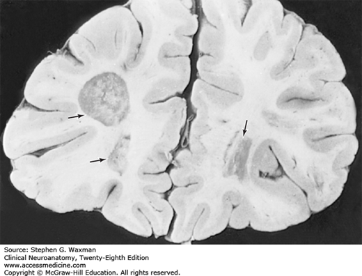
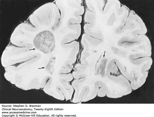
Areas of demyelination of the white matter (arrows) in the frontal lobe of a 54-year-old man with multiple sclerosis.


Read more about multiple sclerosis in context:

Clinical Neuroanatomy, 28e: Chapter 25. Discussion of Cases

Read more about multiple sclerosis:

Harrison’s Principles of Internal Medicine, 20e: Chapter 436. Multiple Sclerosis

Principles and Practice of Hospital Medicine, 2e: Chapter 212. Multiple Sclerosis

Adams and Victor's Principles of Neurology, 10e: Chapter 36. Multiple Sclerosis and Other Inflammatory Demyelinating Diseases


Create a Free MyAccess Profile

AccessMedicine Network is the place to keep up on new releases for the Access products, get short form didactic content, read up on practice impacting highlights, and watch video featuring authors of your favorite books in medicine. Create a MyAccess profile and follow our contributors to stay informed via email updates.