Tuberculosis on Radiography

Tuberculosis on Radiography
Like

Share this post

Choose a social network to share with, or copy the URL to share elsewhere

This is a representation of how your post may appear on social media. The actual post will vary between social networks


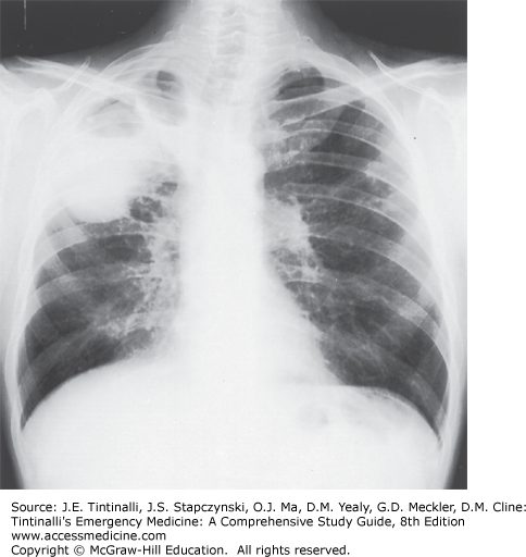
Cavitary tuberculosis of the right upper lobe.


Read about tuberculosis in context: 

Tintinalli's Emergency Medicine: A Comprehensive Study Guide, 8e: Chapter 67. Tuberculosis

Read about tuberculosis:

Harrison’s Principles of Internal Medicine, 20e: Chapter 173. Tuberculosis

Principles and Practice of Hospital Medicine, 2e: Chapter 200. Tuberculosis

CURRENT Diagnosis and Treatment Family Medicine, 4e: Chapter 54. Tuberculosis





Create a Free MyAccess Profile

AccessMedicine Network is the place to keep up on new releases for the Access products, get short form didactic content, read up on practice impacting highlights, and watch video featuring authors of your favorite books in medicine. Create a MyAccess profile and follow our contributors to stay informed via email updates.