Week 30 Image

What's your diagnosis?
Week 30 Image
Like

Share this post

Choose a social network to share with, or copy the URL to share elsewhere

This is a representation of how your post may appear on social media. The actual post will vary between social networks

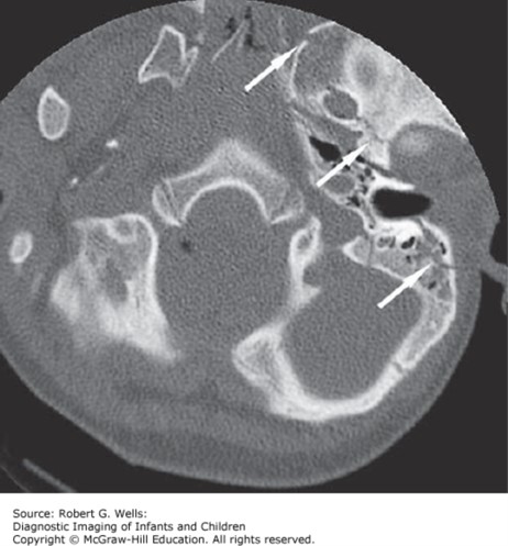
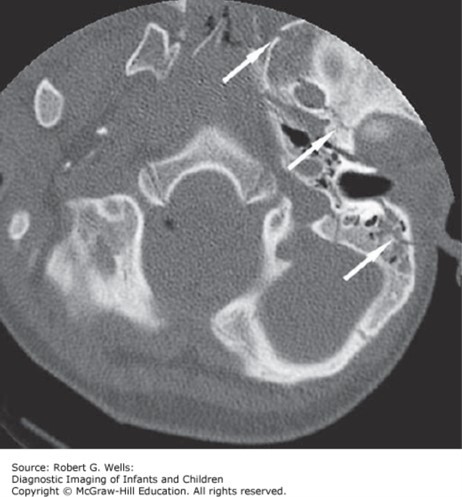
Basilar skull fracture. A longitudinal fracture (arrows) extends through the petrous portion of the left temporal bone, foramen ovale, and greater wing of the sphenoid bone.

Source: Wells RG. Diagnostic Imaging of Infants and Children; 2015. 

Create a Free MyAccess Profile

AccessMedicine Network is the place to keep up on new releases for the Access products, get short form didactic content, read up on practice impacting highlights, and watch video featuring authors of your favorite books in medicine. Create a MyAccess profile and follow our contributors to stay informed via email updates.