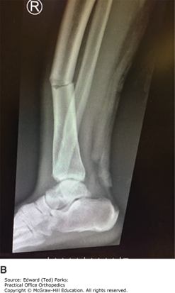
Tibia and Fibula (Tib-Fib) Fracture on X-ray
Like
Liked by ihezie aganachi
An AP (A), and lateral (B) x-ray of a tibia and fibula (tib-fib) fracture demonstrating how the fracture can appear well aligned on one view and displaced on the other. When getting x-rays to evaluate an injured extremity, it is important to obtain at least two views at 90 degrees.


Read more about tibia and fibula fractures in context:
Practical Office Orthopedics: Chapter 8. Fracture Management
Read more about tibia and fibula fractures:
The Atlas of Emergency Medicine, 4e: Chapter 14. Pediatric Conditions
CURRENT Diagnosis and Treatment Surgery: Chapter 40. Orthopedic Surgery
Create a Free MyAccess Profile
AccessMedicine Network is the place to keep up on new releases for the Access products, get short form didactic content, read up on practice impacting highlights, and watch video featuring authors of your favorite books in medicine. Create a MyAccess profile and follow our contributors to stay informed via email updates.