Brain MRI Findings in Patients with Dementia
Like
Be the first to like this
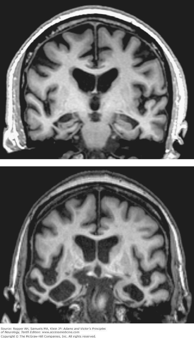
Top Image: Coronal T1-weighted MRI of a 74-year-old man with moderate Alzheimer-type dementia. Diffuse cerebral and hippocampal atrophy with ex vacuo ventricular and cortical sulcal dilation is noted.

Bottom Image: Coronal T1-weighted MRI of a 70-year-old woman with behavioral variant frontotemporal lobar dementia. Atrophy of the right greater than left temporal lobes is out of proportion to atrophy of the frontal and parietal lobes.
Click this link to read more about dementia in context: Adam and Victor's Principles of Neurology, 10e> Chapter 39: Degenerative Diseases of the Nervous System
Click this link to read more about dementia: Hazzard's Geriatric Medicine and Gerontology, 7e > Chapter 66: Dementia Including Alzheimer Disease
Create a Free MyAccess Profile
AccessMedicine Network is the place to keep up on new releases for the Access products, get short form didactic content, read up on practice impacting highlights, and watch video featuring authors of your favorite books in medicine. Create a MyAccess profile and follow our contributors to stay informed via email updates.