Like
Be the first to like this


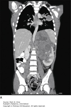
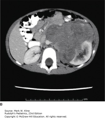
Coronal (A) and axial (B) images of child presenting with stage IV favorable histology Wilms tumor. Images demonstrate large left renal mass and massive pulmonary nodules.
Source: Kline MW. Rudolph's Pediatrics, 23rd ed. New York, NY: McGraw-Hill Education; 2018.
Create a Free MyAccess Profile
AccessMedicine Network is the place to keep up on new releases for the Access products, get short form didactic content, read up on practice impacting highlights, and watch video featuring authors of your favorite books in medicine. Create a MyAccess profile and follow our contributors to stay informed via email updates.