Like
Be the first to like this

Mycobacterium tuberculosis on a Kinyoun stain.

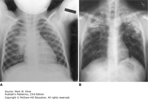
A: A chest radiograph from a child with early pulmonary tuberculosis demonstrating hilar adenopathy and perihilar infiltrate. B: An adolescent with severe bilateral upper lobe tuberculosis, with cavitation on the right side.
Source: Kline MW. Rudolph's Pediatrics, 23rd ed. New York, NY: McGraw-Hill Education; 2018.
Create a Free MyAccess Profile
AccessMedicine Network is the place to keep up on new releases for the Access products, get short form didactic content, read up on practice impacting highlights, and watch video featuring authors of your favorite books in medicine. Create a MyAccess profile and follow our contributors to stay informed via email updates.