Like
Liked by David Caballero
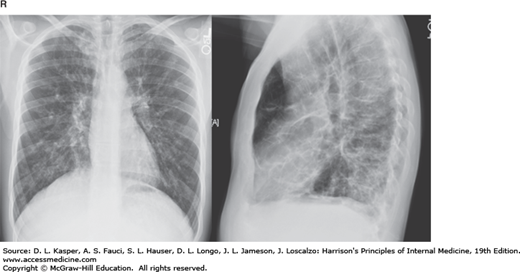
Cystic fibrosis with bronchiectasis, apical disease

Cystic fibrosis with bronchiectasis, apical disease

We and selected partners, use cookies or similar technologies as specified in the cookie policy and privacy policy.
You can consent to the use of such technologies by closing this notice.
Create a Free MyAccess Profile
AccessMedicine Network is the place to keep up on new releases for the Access products, get short form didactic content, read up on practice impacting highlights, and watch video featuring authors of your favorite books in medicine. Create a MyAccess profile and follow our contributors to stay informed via email updates.
Is there a way to see a larger image with annotation of pathological features?