Like
Be the first to like this

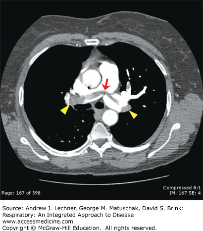
Contrast CT angiogram of the chest showing a "saddle" pulmonary embolism (red arrow) as well as filling defects in the left and right pulmonary artery branches (yellow arrowheads) secondary to obstruction by thromboembolic materials. Read more in Respiratory: An Integrated Approach to Disease, Chapter 15.
Create a Free MyAccess Profile
AccessMedicine Network is the place to keep up on new releases for the Access products, get short form didactic content, read up on practice impacting highlights, and watch video featuring authors of your favorite books in medicine. Create a MyAccess profile and follow our contributors to stay informed via email updates.