Like

Share this post

Choose a social network to share with, or copy the URL to share elsewhere

This is a representation of how your post may appear on social media. The actual post will vary between social networks


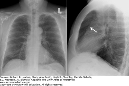
Answer: Acute asthma exacerbation with increased lung volumes on chest x-ray. The lateral projection reveals enlargement of the retrosternal clear space (arrow). (Used with permission from Carlos Santiago Restrepo, MD.)

From Usatine RP, Smith MA, Chumley HS, et al. The Color Atlas of Pediatrics. New York, NY: McGraw-Hill; 2015.

Create a Free MyAccess Profile

AccessMedicine Network is the place to keep up on new releases for the Access products, get short form didactic content, read up on practice impacting highlights, and watch video featuring authors of your favorite books in medicine. Create a MyAccess profile and follow our contributors to stay informed via email updates.