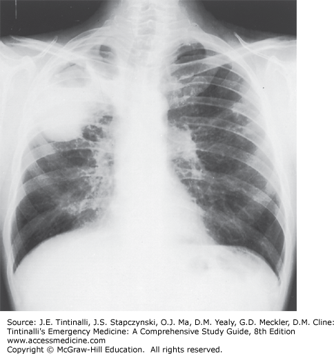
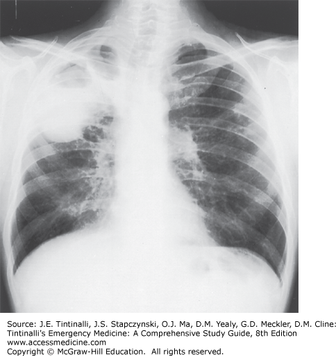
Cavitary Tuberculosis of the Right Upper Lobe on Chest Radiography
Like
Liked by Brian Tao

Cavitary tuberculosis of the right upper lobe.
Tintinalli JE, Stapczynski J, Ma O, Yealy DM, Meckler GD, Cline DM. Tintinalli’s Emergency Medicine: A Comprehensive Study Guide, 8e; 2016 Available at: https://accessmedicine.mhmedical.com/ViewLarge.aspx?figid=109429565&gbosContainerID=0&gbosid=0 Accessed: April 06, 2018
Create a Free MyAccess Profile
AccessMedicine Network is the place to keep up on new releases for the Access products, get short form didactic content, read up on practice impacting highlights, and watch video featuring authors of your favorite books in medicine. Create a MyAccess profile and follow our contributors to stay informed via email updates.