Like
Be the first to like this

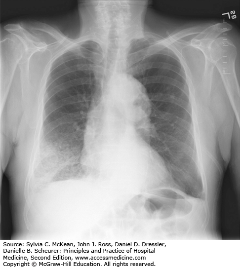
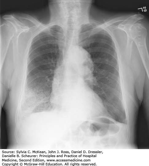
Pneumococcal lobar pneumonia. A 78-year-old man with chronic lung disease had subjective fever, right-sided pleuritic chest pain, and greatly increased shortness of breath for 2 days. He was afebrile, and his WBC count was 10,600/mm3 with 40% band forms. Blood cultures were positive for S. pneumoniae. A sputum submitted for culture more than 24 hours after antibiotics were begun yielded no pneumococci.
McKean SC, Ross JJ, Dressler DD, Scheurer DB. Principles and Practice of Hospital Medicine, 2e; 2017 Available at: http://accessmedicine.mhmedical.com/ViewLarge.aspx?figid=146984863&gbosContainerID=0&gbosid=0 Accessed: January 30, 2018
Create a Free MyAccess Profile
AccessMedicine Network is the place to keep up on new releases for the Access products, get short form didactic content, read up on practice impacting highlights, and watch video featuring authors of your favorite books in medicine. Create a MyAccess profile and follow our contributors to stay informed via email updates.