Like
Be the first to like this

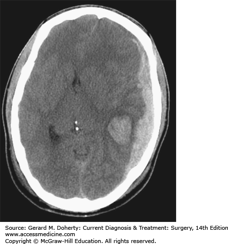
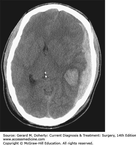
Acute subdural hematoma with an associated intraparenchymal hemorrhage after head trauma in a 25-year-old patient.
Doherty GM. CURRENT Diagnosis & Treatment: Surgery, 14e; 2015 Available at: http://accessmedicine.mhmedical.com/ViewLarge.aspx?figid=71524676&gbosContainerID=0&gbosid=0 Accessed: January 30, 2018
Create a Free MyAccess Profile
AccessMedicine Network is the place to keep up on new releases for the Access products, get short form didactic content, read up on practice impacting highlights, and watch video featuring authors of your favorite books in medicine. Create a MyAccess profile and follow our contributors to stay informed via email updates.